ΕΣΠΑ Χρηματοδότηση

Λεύκανση στο ιατρείο

Λεύκανση στο ιατρείο

Λεύκανση στο ιατρείο σε μια συνεδρία

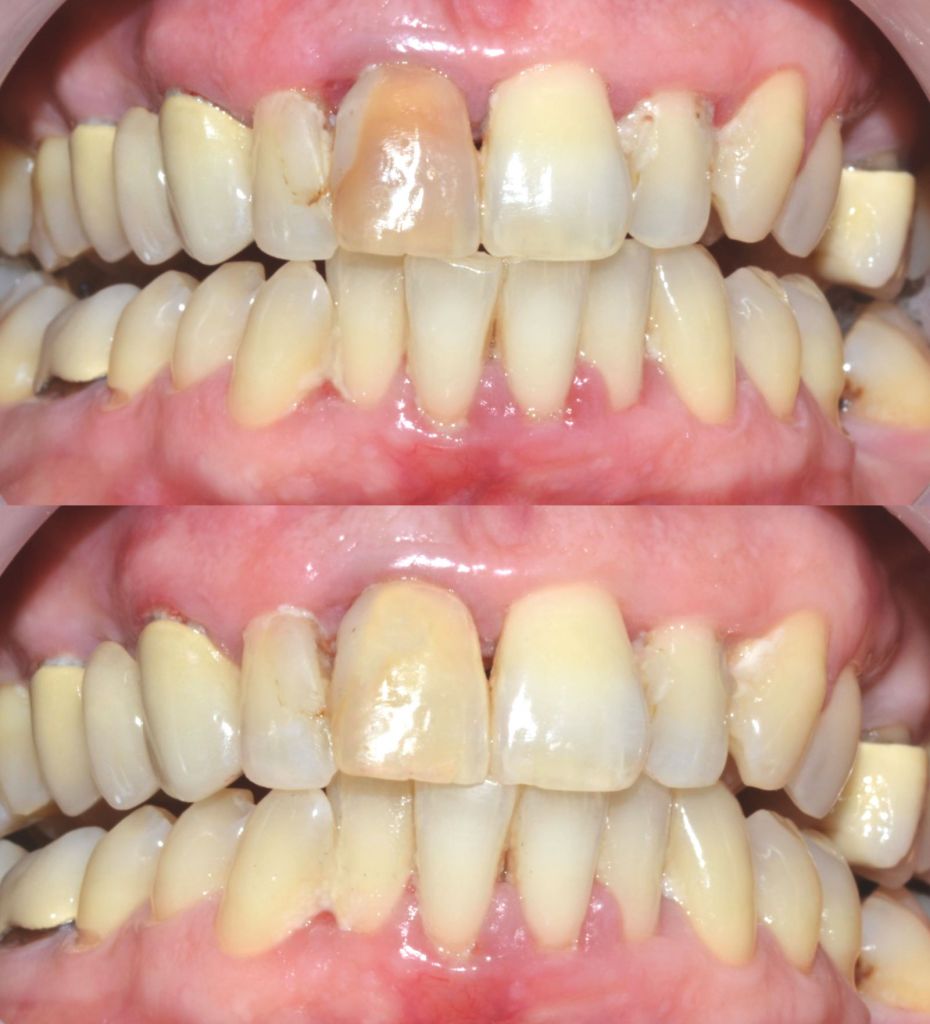
Εσωτερική λεύκανση ενδοδοντικά θεραπευμένου δοντιου.

Ορθοδοντική θεραπεία, λεύκανση και όψη πορσελάνης για μετατροπή του κυνόδοντα σε πλάγιο τομέα

Επιστροφή στην κορυφή

Powered By GenesisWeb Studio - Προστασία Προσωπικών Δεδομένων