ΕΣΠΑ Χρηματοδότηση

Έμφραξη σύνθετης ρητίνης στο δόντι #25

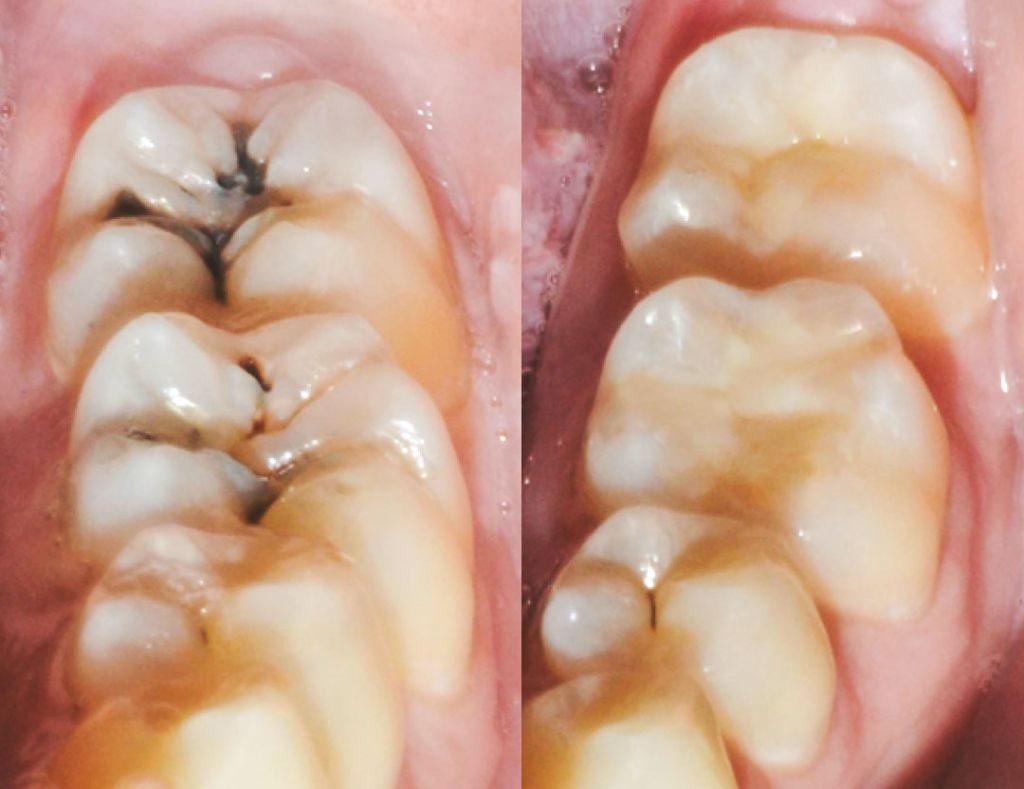
 Έμφραξη σύνθετης ρητίνης στα δόντια #36 & #37

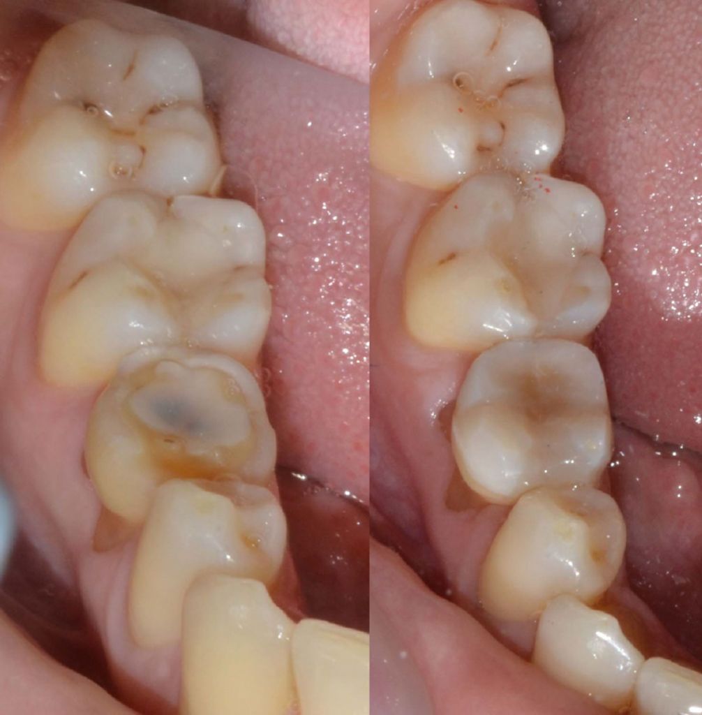
 Έμφραξη σύνθετης ρητίνης στο δόντι #46

 Επένθετο ρητίνης σε νεόγιλο γομφίο

Επιστροφή στην κορυφή

Powered By GenesisWeb Studio - Προστασία Προσωπικών Δεδομένων